Füllungen: Diagnostik
Aus heutiger Sicht geht es nicht nur um die Entscheidung, ob ein bestimmter Zahn oder eine bestimmte Zahnfläche eine Restauration benötigt, sondern es geht auch darum, durch die Kariesdiagnostik Phasen aktuell hoher oder niedriger Kariesaktivität zu erkennen.
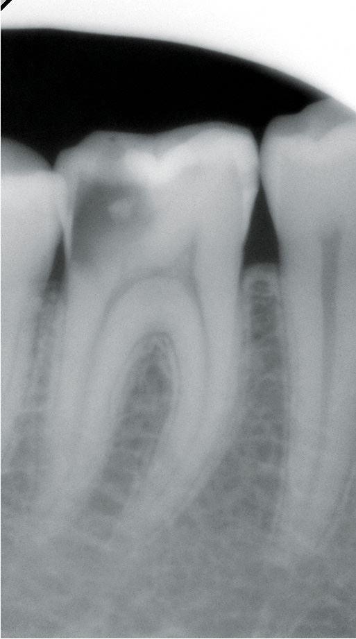
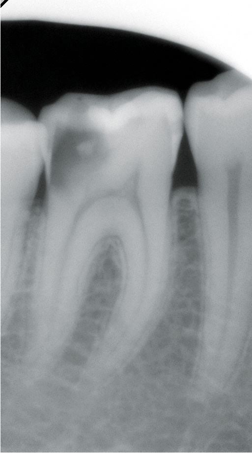
Unterschieden werden initiale Karies, Dentinkaries sowie Fissurenkaries, Approximalkaries und Wurzelkaries.
Die klinische Untersuchung, insbesondere die visuelle Inspektion (Lupenbrille) sind Standard, um auch die "hidden caries zu erkennen. Zusätzliche Maßnahmen können Röntgenaufnahmen, Einsatz von Laserfluoreszenz, Kariesdetektoren oder Fiberoptiktransillumination (FOTI) sein, um Frühstadien zu erkennen.

